马来西亚肿瘤学家最近利用 3D 打印模具成功进行了该国首次足跟骨置换手术,实现了一个里程碑。该手术解决了治疗后巨细胞瘤的复发问题,需要完全切除跟骨。
患者康复且没有出现并发症,凸显了该方法的功效。凭借其成本效益,3D 打印方法成为在政府医疗机构财政紧张的情况下骨骼重建的一种有前景的解决方案。医疗团队强调了该方法的多功能性,强调其有可能使众多需要骨重建的患者受益。
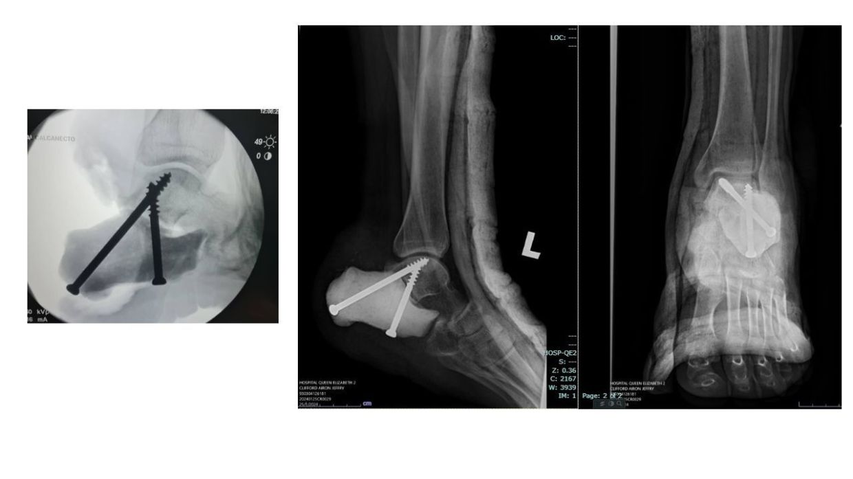
植入骨的 X 射线图像。(图片来源:伊丽莎白女王医院)
此次手术由骨科肿瘤科医生 Aaron Gerarde Paul 医生、Eyrique Goh Boay Heong 医生和 Tee Kok Keat 医生领导,标志着医疗创新的重大飞跃。准备工作需要精心策划,利用先进技术将 CT 图像转换为精确的 3D 模型。
该模具使用聚乳酸(PLA)进行打印,以确保生物相容性和易于灭菌。将聚甲基丙烯酸甲酯(PMMA)骨水泥倒入模具中,促进无缝附着,实现术后负重。
这种创新方法不仅保证功能恢复,而且通过缩短恢复时间和增强解剖贴合度来强调患者的舒适度。随着马来西亚医疗保健领域率先采用这项新技术,它为骨科肿瘤学的未来进步开创了先例,为全世界的患者带来了希望。
资料来源:thestar.com.my
【特别声明】本站部分内容来源于互联网,仅供个人用于学习、研究,不得用于商业用途。如有关于文章内容、版权或其它问题请及时联系我们修正或删除(微信:18923725282 / 邮箱:454884888@qq.com)。






























